Escrito por Vasiliki A. Ntavlourou BVM, MRCVS, GPCert(ExAP). Gerente veterinarira y propietaria de la clínica.
En la clínica hay un aparato de RAYOS X colocado en la sala de operaciones específicamente diseñado y sostenido por una pared de plomo.
Además del aparato hay también todo el equipamiento necesario para sacar con seguridad las rediografías (batas y guantes de plomo, colchón de plomo para la mesa de cirugía). En el espacio se ha hecho una revisión radiográfica completa y la institución DIMOKRITOS nos ha dado la aprobación.
La máquina de rayos X está situada en la sala de operaciones con el fin de facilitar la toma de radiografías de los animales anestesiados. De este modo se evita la contención por parte de los dueños de los animales y además se nos da la oportunidad de tomar una radiografía directa del animal justo antes y después de una operación. De esta manera se puede ver enseguida el resultatdo de una cirugía ortopédia.
Todas las radiografías realizadas en la clínica se guardan en unas carpetas específicas y están siempre a la disposición de los dueños. Incluso, poseemos archivos electrónicos en el ordenador para que su envio sea más fácil a través de un correo electrónico.
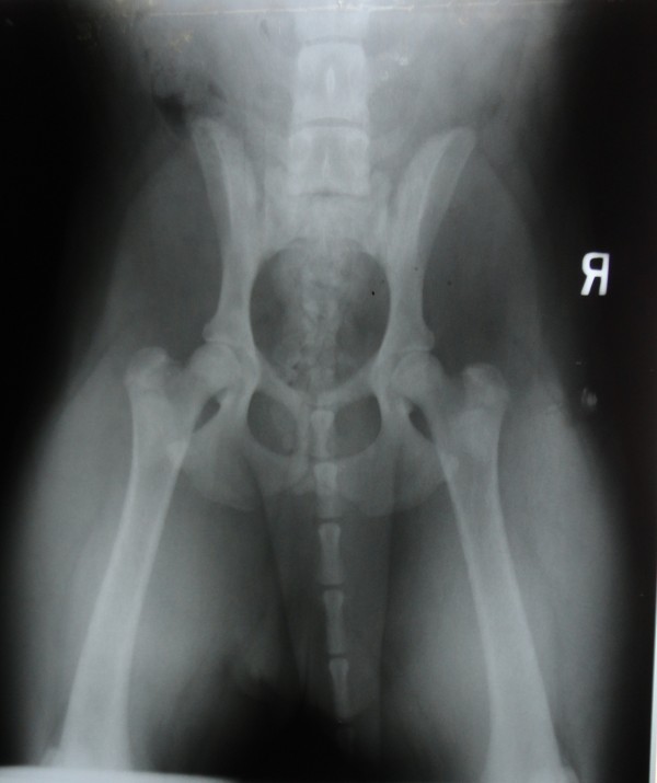
Más allá de las radiografías hechas con fines diagnósticos en los casos de animales enfermos en nuestra clínica tratamos de aplicar también el sistema del examen radiológico preventivo para diagnosticar enfermedades hereditarias, como por ejemplo la ¨displasia¨de cadera.
View the embedded image gallery online at:
http://www.vasilikianimalclinic.gr/index.php/es/servicios/services-xrays#sigProId52ca7bfce9
En nuestra clínica existe la posibilidad de enviar los rayos X a Inglaterra o a los Estados Unidos, a radiólogos y ortopedas especiales cuando una seguanda opinión se crea necesaria.
Nuestra oficina es miembro del grupo IDEXX y somos suscriptores del servicio IDEXX TELEMEDICINE:
Se trata de un servicio de segunda opinión de los Estados Unidos que nos permite mandar los rayos X al extranjero , para tener la opinión de veterinarios expertos en la radiología.



