Written by Vasiliki A. Ntavlourou. BVM, MRCVS, GPCert(ExAP).

This is HARA! Her name means "JOY".........and YES she is full of JOY!!! and surprises!!!!
But please, do not be mislead by the innocent look on her face or the irresistible...............braid!!!!!!!!!!
Generally speaking, when your dog is sitting quietly and "tidily" infront of your sofa, having this "holy" look on his face................just check, in case he has "tidied up" underneath the sofa!!!!!!!!

And YOU, all of you, my dearest dogs!!! Maybe you think that you can get away with your naughtiness, as your innocent owners would never suspect you, but please REMEMBER: THERE IS ALWAYS THAT PERSON AROUND THE CORNER, CALLED "THE VET"!!!
Sooner or later, you will get caught! Even if that means that the VET has to rip apart her own sofa to discover the cause of your presentation on her..........operating table!!!!!
So, our dearest HARA, came to our practice a few weeks ago as she was vomiting intermittently! We were not alarmed initially. Her dietary habits, containing delicious Greek food had been the reason for her frequent visits to us in the past.
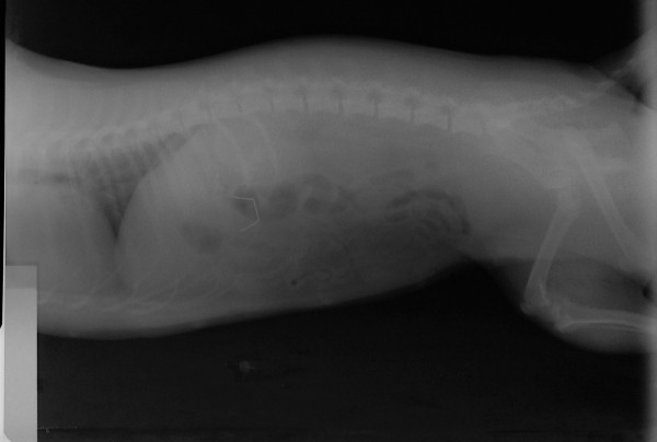
This time though, Hara's vomiting episodes were more serious and consistent. So,we decided to take a few xrays of Hara's.......belly!
..........and here is what we found!!!!!!!!!!


I have to confess, that it took us a few xray views and a thorough investigation of our xray plates, xray table and xray developing machine to convince ourselves and the owner that the object showing on the xray was really inside Hara's stomach and it was not an xray artifact!!!
Having confirmed the presence of this weird foreign body inside the little dog's stomach.............without any help from "her", as she was denying with passion her guiltiness, continuously showing off her beauty and her braid, looking innocent and cute........we were left with no other choice but to "grill" the owner!
The obvious thing was that the foreign body was a staple! Its size though, was not of an ordinary office staple. We were running out of ideas as to where she could have possibly found it and we had accused friends and relatives for not cleaning their floors................when the owner confessed that Hara is quite "naughty" at home ...........but she gets away with almost everything as soon as she waves that .......braid!
We asked the owner to define ¨naughty¨ and give us some more information on Hara´s daily indoors.......activities! So,she opened her heart to us and she told us...............EVERYTHING!!!!!!!!!
Hara likes to "chew" up everything at home!.....shoes, carpets, walls, chairs, SOFAS!!!!!!!!!!!!
SOFAS???????
Oooooooooooops!!!!!!
At that point we interrupted the narration!!!!!!
SOFAS!!
The owner had just said the "magic" word: "SOFA"!
.....and then, Hara looked down and the expression on her face was telling the "truth"..........SHE HAD DONE SOMETHING!!!!! .......and we all knew what that was..................
To be perfectly honest though, we ended up riping apart one of the clinic's sofas to get one of these staples and xray it by the side of Hara's belly, only to confirm that the one inside her stomach was of the same shape and size as the staple that holds the covers of the sofa together!!!

The good thing in Hara´s case was that a staple, as all metallic objects, is easily identified on an xray. Other foreign bodies that dogs very often swallow (socks, plastic objects, linear etc), are very difficult to identify and in most cases they are not visible on xrays.
The ingestion though of such a foreign body, involves the risk of the dog getting poisoned by ZINC, which most of the times is the heavy metal covering staples!
You can find more information on zinc toxicity here.
The size and type of this foreign body would not allow any delays. We decided to operate on Hara and remove the foreign object by performing a gastrotomy (opening into her stomach). Finding the staple inside Hara's stomach was a true challenge as it was covered in hair (due to overgrooming!), but that was a good thing, as the hair did not allow the sharp ends of the staple to penetrate the wall of the stomach.


Hara has now recovered from the operation and she is at home, receiving all the love from her caring owner. We do hope and wish she stays out of trouble .........for as long as possible!
SO, be careful! If your dog spends time under the sofa...........maybe he/she is up to something!!!!!
MERRY CHRISTMAS WITH LOVE AND........ "JOY"!!!

